広島市佐伯区・五日市の歯科・歯医者  ハートフル歯科・矯正歯科/歯周病治療/矯正歯科

小児歯科

お子さまの歯の健康を守る、3つの大切な予防

お子さまの歯は大人より柔らかく、むし歯になりやすいため、早期からの予防が重要です。
当院では3つの予防を柱とした包括的なケアを提供しています。

むし歯の予防

むし歯の予防

定期検診とフッ素塗布や正しいブラッシング指導

歯周病予防

歯周病予防

歯茎の健康チェックやプラーク除去指導

歯並びの予防

歯並びの予防

早期発見・早期対応

1.子どものむし歯予防について

お子さまの歯は大人の歯に比べて柔らかく、むし歯になりやすい特徴があります。
早期発見・早期治療が重要です。

むし歯予防の4つのポイント

  • 毎日の正しい歯磨き
  • 食事やおやつのタイミング工夫
  • フッ素の活用
  • 定期的な歯科医院でのチェック・クリーニング
子どものむし歯

2.子どもの歯周病予防について

子どもも歯肉炎になります。
歯茎の赤み・腫れ・出血が主な症状で、放置すると将来の歯周病リスクが高まります。

歯周病予防の3つの方法

  • プラーク(歯垢)をきちんと取り除く歯みがき習慣
  • 歯茎にやさしい歯磨きの仕方
  • 歯科医院での定期的なチェック・クリーニング
子どもの歯周病予防

当院では、年齢に適した歯茎のチェックを行い、正しい歯みがきを実行しています。
また、保護者の方へ「1才頃の歯の磨き方」をしっかりお伝えし、ご家庭でのケアを一緒に考えさせていただきます。

3.子どもの歯並びの予防について

〜成長期だからこそできる、大切なケア〜

お子さまの歯並びは、成長と共に変化します。「かみ合わせ」や「歯列」「顎関節」に関して、成長を利用した治療が可能です。
骨や筋肉の成長バランスに配慮した、ご家庭での生活指導も含めた治療アプローチを実施しています。

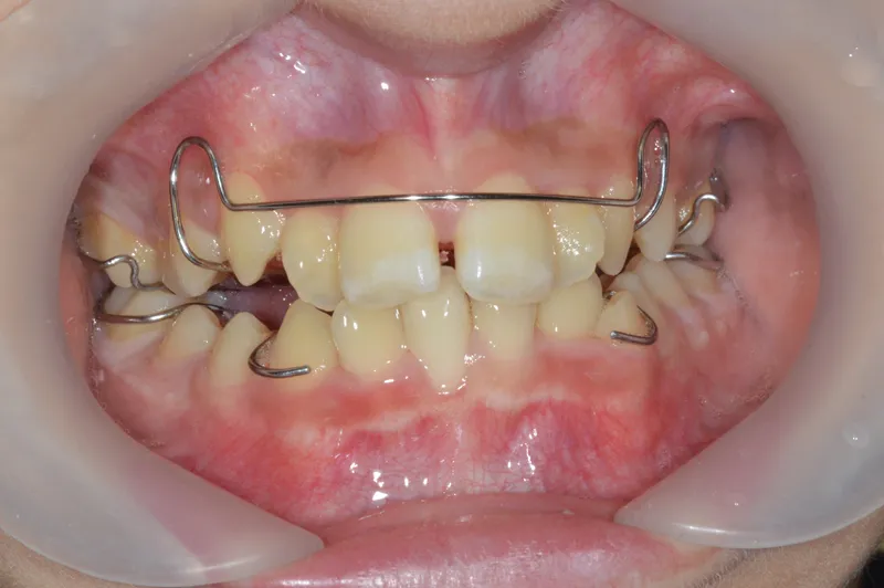
床矯正装置

しょう矯正きょうせい装置

顎の成長を促進し、歯が並ぶスペースを確保する取り外し可能な装置です。

マルチブラケット

マルチブラケット

歯を理想的な位置に移動させる装置で、精密な歯列矯正が可能。

MFT

MFT(口腔筋機能療法)

正しい舌の位置や呼吸法をトレーニングして根本的な改善を図る。

成長期治療のメリット

  • お子さまの成長を利用した自然な歯列改善
  • 成長期の今だからこそ実現できる高い効果
  • 将来的な治療期間の短縮
  • 大人になってからの矯正よりも負担が少ない
  • 抜歯の可能性を大幅に減らせる

当院では、フッ素塗布やシーラント(歯の溝を埋める予防処置)など、お子さま一人ひとりの口腔状態に合わせたむし歯の早期ケアを行っています。
また、正しい食習慣や正しい磨き方を身につけることで、お口の健康を長期的にサポートいたします。
どんなお悩みでもお気軽にご相談ください。

早期発見・早期治療の重要性

歯並びの問題は、放置すると治療が困難になったり、治療期間が長くなる可能性があります。気になることがあれば、お早めにご相談ください。

拡大床でゆとりある歯列に

子どもの乱ぐい歯(スペース不足)には、取り外し式の「拡大床」で顎の骨をゆっくり広げ、永久歯が並ぶ余裕を確保します。

拡大床の特長

  • 取り外し式:自宅で着脱できるため清掃が簡単
  • 痛みが少ない:週1回程度スクリューを回し、無理なく拡大
  • 対象年齢:理想は6~7歳開始、10歳頃までに完了

当院のアプローチ

  • 取り外し式:自宅で着脱できるため清掃が簡単
  • 痛みが少ない:週1回程度スクリューを回し、無理なく拡大

このⅠ期治療で歯列が十分整えば、成人後の本格矯正を省略できるケースもあります。

小学校低学年からできる外が見えにくい優しい矯正治療

矯正治療

取り外し式の床矯正装置。顎の骨の成長を利用して治療を行う方法です。

矯正治療

成長を利用して歯の並ぶスペースをとることで、歯並びの改善を目指します。

矯正治療

セファロ撮影などの専門的な診断を行い、院長が丁寧に説明します。

ハートフル歯科・矯正歯科

TEL: 082-943-2007

〒731-5127 広島県広島市佐伯区五日市5-15-3 1F

診療時間

診療時間 日・祝
09:00~13:00
14:30~18:00

※休診日:木曜日・日曜日・祝日
※土曜日午後の診療(△)は14:00~17:00です。