広島市佐伯区・五日市の歯科・歯医者  ハートフル歯科・矯正歯科/歯周病治療/矯正歯科

小児矯正

こどもの矯正

子どもの矯正治療は元来、大人になってからの矯正の準備という位置付けです。

こどもの矯正治療の目的

  • 健康なお口の発育を促す
  • 健康なお口の機能を育成する
  • 健康で美しい歯並びを獲得する準備をする
こどもの矯正

そこで、当院のこどもの矯正治療では床矯正(歯を並べるスペースを確保するための矯正治療)部分的な矯正治療(部分矯正)により理想の歯並びを作っていきます。

また歯型取りが苦手なお子さまには、装置による筋機能訓練(お口の運動)も実施し、複合的な方法で矯正治療を行っております。

料金 340,000円(税込)
こどもの矯正

歯並びの不正について

出っ歯

出っ歯

日本人に多いとされています。上の歯が出ているもしくは下顎が小さいために起こります。

受け口

受け口

下のあごが大きかったり、上の歯が引っ込んでいたりすると起こります。

乱ぐい歯

乱ぐい歯

歯のスペース不足により歯がガタガタに生えてしまっているようなケースです。

精密検査の重要性

当院では矯正治療を開始いただく患者様には、精密検査を行っていただいております。

矯正治療をご検討いただいている皆様の不正咬合(悪い歯並び)は、ひとりひとり異なっています。例えば出っ歯(上顎前突)にも以下の状況があります。

  • 歯だけが傾斜している場合
  • 上あごが突出している場合
  • 下顎が小さい場合
精密検査の重要性

この診断にはおしゃべりや飲み込みなどを撮影して診断する検査、レントゲンなどの検査が必要になります。

当院では矯正治療を開始いただく患者様に、正確な診断結果をご提供するために各種検査を行い、適切な治療法をご提案しています。綺麗な歯並びにするためには、ひとりひとり異なる不正咬合ごとに適した治療を行うことが重要と言われております。

床矯正とは

特にお子さまの治療で用いる矯正治療の方法です。

幼少期から歯並びが悪くなってしまう原因の一つとして「顎に永久歯が生えてくるスペースがしっかりと確保できていない」ということがあります。

当院では、そのような原因で歯並びが悪くなることを予防するための取り組みとして「取り外し式の装置を用いて、歯を支える骨の幅をゆっくりと広げる」という矯正治療方法を行っております。この矯正治療の方法により、永久歯の生えるスペースを確保して歯並びが悪くなることを防ぎます。こちらの床矯正は小児の矯正で多く用いられており、当院は治療実績も豊富であるため、ご安心して治療をお受けいただけます。

床矯正 床矯正

成長期の受け口の改善

患者:6歳児
症状:受け口傾向

診断

セファロ分析で、下顎が前方へ成長する傾向を確認。
早期に骨格的問題へ対応する必要があると判断しました。

治療

チンキャップ型ヘッドギアを就寝時に装着し、下顎の成長を抑制。
筋機能療法を併用し、舌や口周りの運動をトレーニング。

経過

1年後、受け口は標準値に近づきました。
装置は継続装着中で、経過観察を実施しています。

当院の取り組み

小児矯正はセファロレントゲンによる骨格診断を必須とし、裏付けのある治療法のみ採用。
複数の矯正手法を備え、公平な立場でご提案しています。
無料矯正相談と24時間Web予約をご利用いただけます。

受け口など骨格性の問題は成長期にしか行えない治療があります。
まずは精密診断のうえ、最適な時期と方法をご相談ください。

成長期の受け口の改善

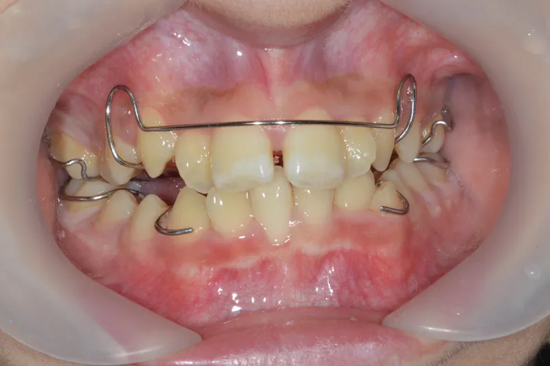
小児症例のご紹介-拡大床+前歯部分矯正+MFT

患者:11歳男児。
症状:歯並びがバラバラ、前歯がすいている、歯列弓の形その他

拡大床による歯列拡大

樹脂製の床とスクリューで構成された取り外し式装置を使用。
週1回スクリューを回して徐々に拡大。
使用期間は2年未満(開始年齢がやや遅いため短期で終了)。

前歯の部分矯正

拡大後も残った前歯のすき間と回転をワイヤーで整列。

筋機能療法(MFT)

舌位・口唇閉鎖力のトレーニングを指導。
毎日1回、保護者の見守り下で実施。

経過と結果

前歯のすき間閉鎖と右上前歯の回転改善を確認。
MFTの継続により歯列弓形態も良好に成長。
Ⅰ期治療のみで十分に満足され、Ⅱ期治療は行わず定期健診中。

管理体制

成長途中のため、年1回のセファロ撮影で骨格の発育をチェック。
必要に応じて治療方法を追加・変更している。

拡大床+前歯部分矯正+MFT

ムーシールドとは

主に小児矯正治療に使用されるマウスピース型装置です。

舌や唇からかかる力をコントロールし、理想の歯並びへの補助を行います。他にも受け口などのかみ合わせの問題の解消にも使用されることが多くあります。

ムーシールド

MFT(お口の筋肉などの訓練)

MFT

成長期のお子様ではお口の機能(舌や口唇の動き)が歯並びに影響します。そのため、子供さんの矯正では装置も大切ですが、お口の機能の訓練も大切です。当院では毎日楽しく行って頂けるような資料をお渡ししております。

MFT

不正咬合(歯並びの悪さ)の原因は、「生まれつき」だけではありません。歯並びは以下の影響によっても大きな変化があると言われており、当院では「お口まわりの筋肉の訓練」などの指導も行っています。

  • お口の悪い癖(呑み込み)
  • 運動(口呼吸)
  • 舌の位置

詳しい料金はこちら

ハートフル歯科・矯正歯科

TEL: 082-943-2007

〒731-5127 広島県広島市佐伯区五日市5-15-3 1F

診療時間

診療時間 日・祝
09:00~13:00
14:30~18:00

※休診日:木曜日・日曜日・祝日
※土曜日午後の診療(△)は14:00~17:00です。