広島市佐伯区・五日市の歯科・歯医者  ハートフル歯科・矯正歯科/歯周病治療/矯正歯科

矯正歯科

当院の矯正治療の特徴

point 01

豊富な矯正治療実績

point 02

経験が裏付ける正確な診断

point 03

様々な矯正治療方法(ワイヤー矯正・マウスピース矯正)

point 04

リーズナブルな価格

point 05

無料矯正相談

上記よりひとりひとりに合った、適切な矯正治療を受けていただくことが可能です。
無料矯正相談(30分)は随時行っております。
不正咬合(悪い歯並び)でお悩みの方は、お気軽にご予約ください。

矯正治療

歯並びの不正について

出っ歯

出っ歯

日本人に多いとされています。上の歯が出ているもしくは下顎が小さいために起こります。

受け口

受け口

下のあごが大きかったり、上の歯が引っ込んでいたりすると起こります。

乱ぐい歯

乱ぐい歯

歯のスペース不足により歯がガタガタに生えてしまっているようなケースです。

精密検査の重要性

当院では矯正治療を開始いただく患者様には、精密検査を行っていただいております。

矯正治療をご検討いただいている皆様の不正咬合(悪い歯並び)は、ひとりひとり異なっています。例えば出っ歯(上顎前突)にも以下の状況があります。

  • 歯だけが傾斜している場合
  • 上あごが突出している場合
  • 下顎が小さい場合
精密検査の重要性

この診断にはセファロ(レントゲン)撮影が必要になります。

当院では矯正治療を開始いただく患者様に、正確な診断結果をご提供するために各種検査を行い、適切な治療法をご提案しています。綺麗な歯並びにするためには、ひとりひとり異なる不正咬合ごとに適した治療を行うことが重要と言われております。

抜歯矯正について

大人の矯正では、上顎2本・下顎2本の計4本の小臼歯抜歯が一般的で、4本あたり約7mmのスペースが生まれ、合計で横顔を最大8mm近く後方へ移動できます。
たった数ミリでも口元の突出感は大きく改善し、横顔の印象が劇的に変わることを当院の症例が示しています。

抜歯矯正

前歯が大きく出た原因として舌突出癖などの口腔習癖が関与することが多く、放置すると後戻りを招きます。 当院では後戻りを防ぐために、MFT(口腔筋機能療法)を併用し、正しい舌位置と唇の使い方を身につける指導を行っています。スタッフは定期的にMFTを学び、患者さま一人ひとりに合わせたトレーニングを提供します。

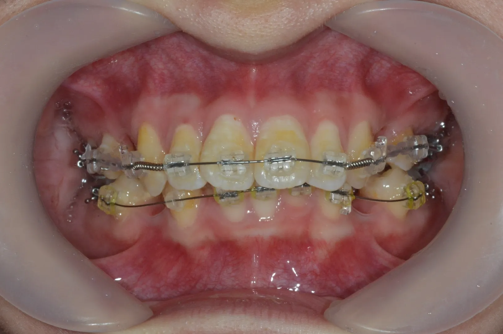
マルチブラケット治療

マウスピース矯正では治療ができないような、重度の不正咬合の場合でも対応可能な治療方法です。当院では患者様にご選択いただくことが最も多い矯正治療方法になります。部分的に矯正治療を行いたい場合(歯並びが悪い箇所が一部の場合など)は一部に取り付けて部分矯正として行っていただくことも可能です。

部分矯正 300,000円(税込)
全額矯正 600,000円~650,000円(税込)
※重度の症例の場合は、抜歯が必要となることがあります。
マルチブラケット治療

マルチブラケット治療の流れと治療中に知っておくべきポイント

1.治療開始までのステップ

  • セファロなどの検査後、治療計画を決定。
  • 抜歯が必要なケースでは先に抜歯を実施
  • 奥歯に金属製の「バンド」を装着し固定源を強化。
  • その後、各歯にブラケットを接着しワイヤーを通して矯正を開始。
  • 初期は来院回数が多く、1か月ほどで調整が落ち着いたら月1回ペースへ。
マルチブラケット治療

2.初期に起こりやすいトラブル

主なトラブル 発生理由・対処
歯の痛み 歯が動き始める際、歯根膜が圧迫・牽引されるため。一度動き出すと軽減。必要に応じて痛み止めを処方。
ブラケット脱離 噛み合わせや食事・歯磨き時の接触が原因。外れやすい方には食事と清掃方法を個別指導。
口内炎 ワイヤー端や装置が粘膜に当たることで発生。ワイヤー調整や保護ワックス、外用薬で対応。
マルチブラケット治療

3.ブラッシングとむし歯予防の重要性

  • ブラケット周囲や歯間部は食片が溜まりやすく磨き残しが発生しやすい。
  • 当院では歯周治療・予防歯科のスタッフが装置に合わせた歯磨き指導を実施。
  • 唾液検査を用いたむし歯リスク評価と洗口剤・補助清掃具の提案で、矯正中のむし歯発生を抑制。
むし歯予防

マウスピース(アライナー)治療

近年注目を浴びている、人気の矯正治療方法です。歯に装置を接着することなく透明で取り外し可能なマウスピースを付けるだけで矯正治療が可能です。2025年から当院でもアメリカストローマン社製のクリアコレクトを導入いたしました。こちらは口腔内スキャナを用いた完全デジタルAI支援型の最新マウスピース矯正システムです。これにより以前のマウスピース矯正よりも広い症例に対応できます。

メリット

  • ブラケット矯正と比較して目立ちにくい
  • 取り外しが可能で、歯磨きがしっかりできて衛生的
マウスピース

ただし、ご自身で取り外ししてお使いいただくことから「規定通りの使用時間を守っていただかない場合、歯がしっかりと動かない」という懸念もあります。適応症例にも制限がありますので、マウスピース矯正で治療可能であるか、正確な診断が必要です。

部分矯正 495,000円(税込)
全顎矯正 770,000円(税込)

上記は初期費用です。
診断料、保定用装置費用も込みです。クレジットカードやデンタルローンによる分割支払いも可能です。

詳しい料金はこちら

部分矯正で前歯の軽度乱ぐいを短期改善

適応

  • 前歯だけのわずかな歯並びの乱れなど、小さな移動で治せる症例
  • 大きな移動や著しいスペース不足は全顎矯正が必要

治療方法

  • 前歯8本だけにブラケットを装着して移動
  • 治療期間:6〜12か月
  • 費用:22万円(税込 2020年現在)

特徴

  • マルチブラケット法(MBS)は歯を3次元的に動かせる唯一の方法
  • 透明マウスピース(アライナー)は同様の症例でも治療期間が1.5〜2倍になり費用も高額
  • アライナーで思うように動かないケースにも有効

診断体制

  • 部分矯正でも骨格検査を必ず実施し、隠れた骨格性原因を確認
部分矯正

矯正治療中のお手入れについて

矯正治療中のお口のケアについて

当院では適切な歯磨きアイテムの口腔清掃についてご説明致します。
矯正治療患者の皆さんにとって必要な清掃器具もご用意しております。歯科衛生士が患者様お一人お一人に適切なブラッシング指導を行います。

ワンタフトブラシ

ワンタフトブラシ

細かい隙間のお手入れに最適!

通常の歯ブラシでは届かない装置周りや歯間部分を効果的にお掃除できます。矯正装置周りでも器具の隙間に簡単に到達。

ワンタフトブラシの特徴

毛先がピンポイントに集中しているため、ブラケット周辺やワイヤー下の清掃に最適です。
通常のブラシでは清掃しにくい部分も確実にケアできます。

歯間ブラシ

歯間ブラシ

矯正中の歯間の汚れを効果的に除去!

サイズが豊富なので、自分にぴったりのものを選択しましょう。
むし歯の原因菌や歯周菌を効果的に除去します。

歯間ブラシの効果

様々なサイズをご用意しているため、患者様に最も適したサイズをお選びいただけます。
通ワイヤー周辺の細部に溜まりやすい歯垢やプラークを効率的に除去できます。

症例紹介 ― 上下顎前突を伴う成人の抜歯矯正1

歯周外科×抜歯矯正でEラインを取り戻す(成人女性)

20歳女性。「口元が前に出ている感じをなくしたい」と来院されました。セファロ分析では骨格に大きな異常はなく、上・下顎各1本ずつ、計4本の小臼歯を抜歯して前歯を後退させるプランをご提案。マルチブラケット装置(MBS)による矯正を2年1か月行い、前歯を8.3mm後方へ移動させた結果、横顔はほぼEラインに沿う自然なプロファイルへと改善しました。

症例紹介 症例紹介

歯周外科が支える矯正治療の“土台”

  • 矯正前後の歯周組織チェック
    抜歯部位や前歯部の移動量が大きい症例では、歯肉の形態や骨の厚みを精査し、必要に応じて歯周外科的な処置(歯肉整形・骨整形など)を併用することで、治療後の後戻りリスクを抑えます。
  • 炎症ゼロで動かす
    歯周基本治療でプラーク・歯石を徹底除去し、無炎症下でワイヤーをかけることが歯を安全に動かす第一条件です。
  • 審美性の最終仕上げ
    歯の位置が整っても歯肉のラインが乱れていては美しさは半減します。術後に微細な歯周形成を行い、笑ったときのガミースマイルやブラックトライアングルを最小限に抑えます。

症例紹介 ― 上下顎前突を伴う成人の抜歯矯正2

前歯の突出と変色(成人女性)

24歳女性。前歯が前方へ大きく傾き、右上前歯の変色も気にされて来院。模型分析・歯列幅の計測・セファロ診断の結果、スペース不足が判明したため上下小臼歯4本を抜歯し、ワイヤー矯正で前歯を後方へ移動しました。抜歯により十分な余裕が生まれ、突出と変色の目立たない自然な口元を実現しています。

症例紹介

歯周外科が果たす3つの役割

  • 安全な抜歯スペースの確保
    模型分析とセファロ診断でスペース不足を確認し、上下4本の小臼歯を外科的に抜歯。歯周組織を傷つけずに行うことで、矯正後の歯肉退縮リスクを抑えます。
  • 固定源の強化
    口蓋に沿わせたワイヤー付きバンドで奥歯をがっちり固定。歯周外科的なアプローチで固定源を安定させることで、前歯を効率よく後方へ引っ込められます。
  • 長期安定化のサポート
    移動後は裏側ワイヤーやマウスピースで後戻りを防止。抜歯部位の歯肉形態を整え、審美性と機能を両立させます。

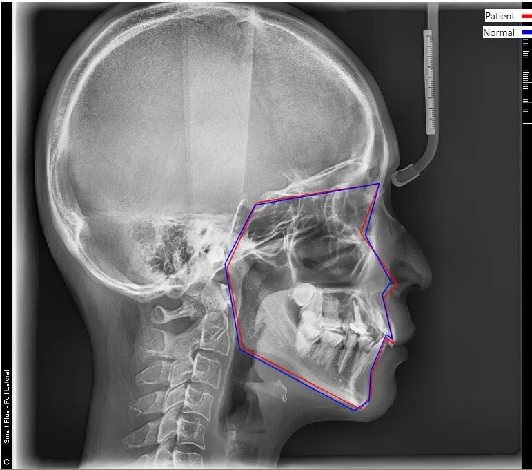
矯正の診断で大切なセファロレントゲン撮影とは?

セファロ撮影とは?

セファロ撮影とは、矯正歯科の診断に特化したレントゲン撮影法です。そのため、一般的な歯科医院には設置されていない場合が多いのが実情です。
しかし矯正治療を行う上では必須の検査であり、日本矯正歯科学会でも診断時に必ず実施することが推奨されています。
地域一番の歯医者を目指す当院では、お子様から大人の方まで、全ての患者さまに必ず撮影を行っております。

セファロ撮影

セファロ撮影の方法

撮影方法としては、頭全体を横向きに撮影します。その際、撮影する患者さまの頭の位置・方向は厳密に規格化されており、耳に「イヤーロッド」と呼ばれる器具を挿入して位置を固定します。これにより、同じ条件下での撮影が可能となり、日付や場所が異なっても治療経過の比較が正確に行えるというメリットがあります。

撮影後の解析と得られる情報

撮影後には数十の計測ポイントをもとに100以上の数値が得られ、以下のような診断が可能となります。
① 前後的関係の分析
頭部全体に対して、上下の顎の前後的位置関係を評価します。

  • 上顎が突出している場合
  • 下顎が後退している場合
  • 歯の傾きによるもの

原因が異なるため、治療方針も異なります。また、数値が大きくずれている場合には外科矯正が必要になることもあります。

垂直的関係の分析

簡単に言えば顔の長さの評価です。この情報により、奥歯の固定方法や治療中の注意点が明確になります。顔の長さに関しては、歯の移動で多少は変化しますが、大きな改善が難しいケースもあるため、数値による判断が重要です。

成長方向の分析

成長期のお子様の場合、上下顎の成長パターンを把握することが重要です。同年代との比較により、正常な発育かどうかを判断します。

  • 成長が異常な場合:ヘッドギアなどによる成長コントロールが必要な場合もあります。
  • 定期的撮影:お子様は年1回、成人では治療前後などに経時的に撮影を行います。

その他の診断内容

  • 臼歯部や前歯の位置関係
  • 開咬の程度
  • 骨格的バランスなど
その他の診断内容

総合的な診断と治療計画

当院の矯正歯科治療では、セファロ撮影だけでなく、総合的に分析し一人ひとりに最適な治療計画を立案します。

  • その他のレントゲン写真
  • 歯型から作成した模型
  • 顎機能や口腔内の所見

矯正治療後の保定 ― “後戻り”の防止

矯ブラケットを外した瞬間は患者さんも歯科医師も晴れやかな気持ちになりますが、ここから始まるのが後戻り(リラプス)との戦いです。歯並びはもともと舌癖や噛み合わせなど複数の要因で形づくられており、治療後も体は元の位置へ戻ろうとします。とくに舌癖が関与する出っ歯や受け口は後戻りしやすく、すべての症例で大小さまざまなリラプスが起こり得るため、物理的に歯を支える「保定」が不可欠です。

主な保定方法

  • 固定式リテーナー(裏側ワイヤー):歯の裏側にワイヤーを直接接着し、24時間歯を支える。最も効果が高い。条件によっては装着できない、外れやすいことがある。
  • 可撤式リテーナー(マウスピース):夜間就寝時に装着。取り外しできて清掃しやすい。毎晩の装着が必須。上はワイヤー、下はマウスピースなど片顎のみ使用するケースもある。

保定期間

  • できる限り長期(半永久的)の装着を推奨しています。装置を使い続けることが、後戻りを防ぐ最良の手段です。
  • 歯並びが整ってもむし歯や歯周病になっては意味がありません。保定装置装着中も定期検診で衛生状態をチェックしましょう。
矯正治療後の保定

歯科用CTとは

歯科用CTは、従来のレントゲンでは得られない三次元情報を取得できる撮影法です。骨の中を立体的に観察できるため、以下のような外科処置に欠かせないデータを正確に把握できます。
取得した画像は三次元再構築し、3Dビューで患者さんにも提示できるため、治療内容を視覚的に共有できる点も特長です。

  • 病巣の広がり
  • 抜歯予定歯と周囲組織の位置関係
歯科用CT

症例:繰り返す歯ぐきの腫れをCTで診断

他院で再治療を重ねても腫れが再発する患者さんをCT撮影したところ、二次元レントゲンではぼんやりしていた影が、根周囲の骨欠損と大きな病巣として明瞭に描出されました。結果、3根のうち1根を抜去し、病巣を外科的に除去して補綴を再製作。ベストとはいえないものの腫脹は治まり、その後は定期健診で経過観察中です。

CT診断
ハートフル歯科・矯正歯科

TEL: 082-943-2007

〒731-5127 広島県広島市佐伯区五日市5-15-3 1F

診療時間

診療時間 日・祝
09:00~13:00
14:30~18:00

※休診日:木曜日・日曜日・祝日
※土曜日午後の診療(△)は14:00~17:00です。